

Crnobijeli ili 2D (dvodimenzionalni) ultrazvučni pregled
Transvaginalni ultrazvučni pregled materice i jajnika se obavlja kroz vaginu vaginalnom sondom dužine 12cm a debljine 1,5-2cm. Za ovaj pregled, koji inače nije bolan treba da se pripremite kao i za ginekološki pregled tj. da se izmokrite i da u kabini skinete donji veš. Za zaštitu od prenošenja infekcije za svaki pregled se koristi kondom. Pregled obično traje 5-15 minuta, nije bolan možda malo neprijatan. Na ovaj način se vrši pregled skoro svih žena i trudnica u prvih 14 nedelja trudnoće.
Pregled ultrazvukom se može obavljati i preko stomaka i tad govorimo o tzv. transabdominalnom pregledu. On se vrši kod djevojčica i žena koje nisu imale odnose. Za takav pregled potreban je pun mokraćni mjehur. Drugim riječima, žena treba da popije 1,5-2l tečnosti dva sata prije termina kad je zakazan pregled. Važno je istaći da uzimanje tečnosti nakon toga tj. pred sam pregled nema nikakve koristi nego čak i štete jer crijeva prepunjena tečnošću smanjuju kvalitet pregleda. Ova vrsta pregleda se primjenjuje i kod trudnica drugom i trećem tromjesečju. Za te preglede nije potrebno uzimanje tečnosti i pun mokraćni mjehur jer plodova voda u materici omogućava vidljivost ploda. Naprotiv, za ovaj pregled je potrebno isprazniti mokraćni mjehur.
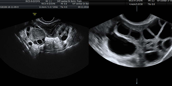
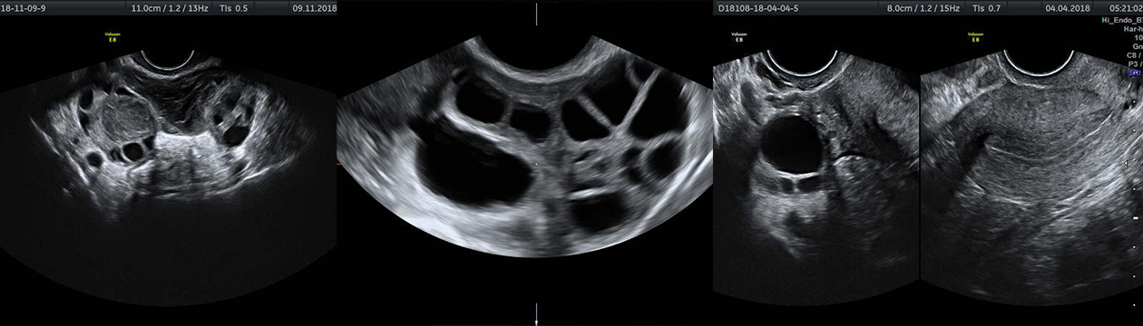
Ovo su standarni pregledi kojima dobijamo informacije o veličini, strukturi, obliku materice, jajnika, te o eventualnim drugim promjenama u maloj karlici žene čime vrlo brzo postavljamo dijagnozu kad je u pitanju najveći broj ginekološki oboljenja i poremećaja kao što je izostanak menstruacije, krvarenja i razni drugi menstrualni pormećaji.

